USB线塞生殖器测大小 少年拔不出剧痛急求医


英国一名15岁少年为了测量大小,竟将USB数据线插入其阴茎内,结果拔不出来紧急求医!
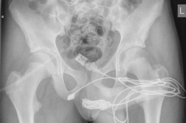
根据《每日星报》报导,少年突发奇想进行奇怪的“性实验”,将USB数据线塞入阴茎内,希望能测量其内部大小。
ADVERTISEMENT
然而,当少年塞到一定长度后,下体就开始感到不适,于是他打算中断“实验”,却发现数据线卡在了其体内。
疼痛难耐的少年立即附近医院求医,医生检查发现数据线已在其体内打结。
“数据线的两端在尿道口外,但中间打结的部分仍留在其尿道里。”
“该患者是一名身体健康的青少年,没有精神疾病病史。”

据报道,医生起初将金属制的空心管塞入少年的尿道口,企图制造空隙取出数据线,却因数据线在阴茎内打结而失败。
医生不得不切开生殖器与肛门之间的部分,从下方接触到数据线,才成功完成手术。
打开全文
ADVERTISEMENT
热门新闻
百格视频
ADVERTISEMENT
