2岁童误吞20仙硬币险丧命 医生提醒:勿在幼儿前假装吞硬币



(八打灵再也1日讯)2岁幼童误吞一枚20仙硬币,卡在食道呕吐不止,所幸及时抢救才安全脱险。
耳鼻喉外科医生莫哈末沙依夫今早在推特贴文叙述昨日医院接到一宗2岁幼童误吞异物的紧急病例,经紧急施救后,成功把幼童吞下的硬币从食道中取出。
ADVERTISEMENT
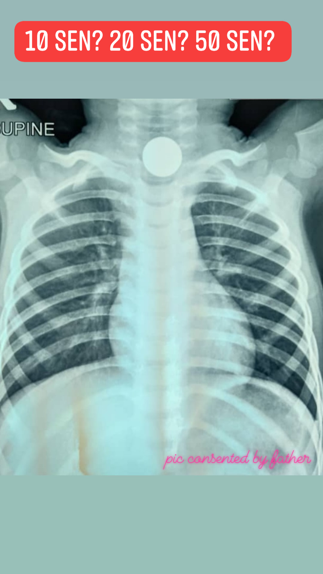
在施以手术之前,沙依夫通过X光图看到硬币卡在幼童的食道中,可是他无法确定是10仙、20仙还是50仙的硬币。
手术很成功,幼童也没有引发任何并发症。
他在文中提醒所有人尤其是父母,不要将玩具、衣钮、头巾别针、硬币等细小物品乱放在地上,防止孩子尤其是年幼的孩子误吞,并且在小孩玩玩具的当儿,需不时给予监视。
他也提醒父母不要教导孩子玩硬币,也不要在孩子面前表演,如假装将硬币放进嘴里让它消失,这会大大提升孩子误吞硬币的风险。
沙依夫说,如果发现孩子突然呕吐不止,而孩子的四周有小件的玩具,父母最好马上带孩子到医院做进一步的检查。
他表示,虽然类似病例不常有,但是之前曾经发生过小物件卡在病人呼吸道,导致病人严重呼吸困难,因此,他希望大家提高警惕,预防类似意外的发生。


打开全文
ADVERTISEMENT
热门新闻
百格视频
ADVERTISEMENT
