日本梅毒病例激增 年底恐破万例



(东京28日综合电)日本国立传染病研究所调查发现,近年统计到“梅毒”病例有大幅上升趋势,出现突破万例的可能性。对此,专家呼吁,如果民众有些许疑虑,可尽速至医疗机关就诊接受检查。
根据日本放送协会(NHK)报道,传染病研究所在2022年统计截至7月17日止,日本全境梅毒病例报告已达6106例,为去年同期的1.7倍。以地区观察,东京都占1796例,为去年同期1.5倍,大阪府占773例,为去年同期2.1倍,爱知县占345例,为去年同期1.9倍。
ADVERTISEMENT
传染病研究所示警,日本2017至2021年5年间,梅毒的平均统计病例数约6600例,而2022年统计病例已经达到相同水准,若持续以这种涨速持续扩散,则梅毒病例有可能涨破1万例,成为日本自1999年起统计历年梅毒病例以来首次突破万的纪录。
日本性传染病学会负责梅毒抗疫领域的神户大学准教授重村克巳准表示,梅毒最重要对策就是预防,呼吁正确使用保险套,若有染病疑虑则应尽速就医检查、及早治疗。
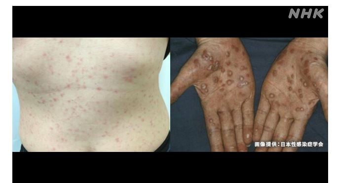
根据台湾疾管署介绍,梅毒是由“梅毒螺旋菌”引起,是一种全身性的慢性传染病,近年在发达国家发生率已明显下降、传染率维持稳定,但仍是全球常见的性病之一。梅毒无法终生免疫,治疗后仍有可能再度感染发病,主要透过性交及其他性行为之紧密接触传染,也可能经由血液传染。
梅毒也可能垂直传染,若孕妇怀孕初期未接受适当治疗,会透过胎盘传染给胎儿,造成新生儿感染先天性梅毒,可能导致死产或死亡。
ADVERTISEMENT
热门新闻
百格视频
ADVERTISEMENT
