一天喝5瓶可乐 17岁少女15颗牙泡腐



(武汉20日综合电)中国湖北省武汉一名17岁少女把可乐当水喝,每天狂喝5瓶,睡前还不刷牙,一年后感觉牙齿严重不适,就医后才发现自己的牙齿有15颗已经被可乐“泡腐”。
ADVERTISEMENT
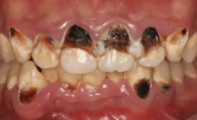
武汉大学口腔医院医生王莉表示,该名少女外表漂亮,但牙齿状况却是惨不忍睹,导致少女平日不敢开口,张嘴的幅度非常小。
她指出,少女一年前开始把可乐当水喝,每天至少喝4、5瓶,而且晚上临睡前从来不刷牙,导致她的牙齿因软垢附著出现白垩色、褐色、黑色等颜色变化,随著酸性物质不断侵蚀,牙齿开始变软,龋洞蔓延,到今年10月,即使只是轻抿一口温水,或轻触一丝凉风,都会感到疼痛。
她说,碳酸饮料含有酸性成分,长期大量饮用会侵蚀牙齿表面的牙釉质,牙釉质受损后,牙齿会变得敏感,对冷、热、酸、甜等刺激产生疼痛不适,影响正常的饮食和生活。
王莉指出,进一步发展可能会导致龋齿的形成,引发更严重的牙痛等问题,甚至可能导致牙齿的缺失,而且牙齿不健康还会影响美观,让人在社交中产生不自信的心理。
王莉为少女制定了治疗方案,对于仅存颜色改变的牙齿,通过涂抹氟化物或使用渗透树脂,增强牙齿抗龋能力;对于已形成龋洞、但没有侵及牙髓的患牙,可先补牙处理,若出现牙髓炎,则需实施根管治疗,彻底清除牙髓腔内和根管内的感染。
经过两个月的治疗后,少女的牙齿已经不再敏感,牙色也恢复洁白,她也从此戒掉可乐。
ADVERTISEMENT
热门新闻
百格视频
ADVERTISEMENT
