玩水上摩托下体受重创 女子须装人工肛门



澳洲一名22岁女子乘坐水上摩托车时,驾驶在她没有防备下突然加速,导致在后座的她整个人往后摔,机身部位正好卡在双腿之间、重击会阴部,不仅当场爆血,甚至肛门严重撕裂,必须装上肠造口(即俗称的人工肛门),直至伤口愈合。
这起罕见病例周二被发表在期刊《创伤病例报告》(Trauma Case Reports)。
ADVERTISEMENT
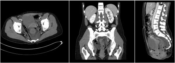
女子被紧急送院后,医生发现她的尾椎骨至肛门口出现长达5公分的伤口,扫描检查结果显示,括约肌和直肠内壁都被撕裂,经过紧急手术缝合后,仍须使用结肠造口袋。
幸好经过12周治疗后,女子目前已经完全康复,正在等待接受肠造口手术。
医疗团队指出,患者遭受的严重肛门直肠伤势相当少见,通常发生在高速水上摩托车事故中。
事实上,类似案例近年来在澳洲日益常见,去年维多利亚州一名21岁女子也从水上摩托车摔落,车速激起的高速水柱直接冲击肛门,导致严重肠道问题。多起相关案例显示,当事人遭受的伤势“都与高压水流射到会阴的气压性伤害有关”。
图为患者括约肌和直肠内壁都被撕裂的X光图片。
ADVERTISEMENT
热门新闻
百格视频
ADVERTISEMENT
