男约砲吃壮阳药喝酒助性 完事后脑部爆血管升天



(新德里6日讯)印度一名41岁男子与女子约炮开房,为了助性吃下两倍剂量的壮阳药和大量饮酒,结果一夜风流后真的“绝顶升天”,脑血管爆裂惨死!
这起案件被刊登在最新一期《鉴识与法律医学杂志》上。报告指出,这名男子与一名女性友人约炮开房,为了助性而服用壮阳药物“西地那非”(sildenafil),之后又饮酒作乐,和女子一夜激情后,隔天早上突然头痛和呕吐,女方试图说服男方就医,可是被拒,声称自己过去也有类似经验,觉得自己“没事”!
ADVERTISEMENT
男子之后的状况越来越差,因此马上将他送医,送到医院后已无生命体征,最后医生确认男子 不治身亡。男子遗体之后进行剖解,法医发现,男子服用壮阳药的剂量,是医师一般指示用药剂量的两倍。
此外,男子的血液酒精浓度,也是一般酒测值的两倍。法医说,男子的真正死因是“脑血管出血”。
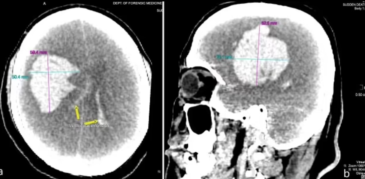
综合上述状况,法医因此推断,男子在过量药物和酒精的影响下,导致严重高血压,并进一步引发中风,最后造成脑血管破裂,同时发现男子脑部有300克血块(图)。
法医也相信,男子在没有医师指示下,服用过量壮阳药,至于男子服用何种牌子的西地那非,报告中没有详细说明。
ADVERTISEMENT
热门新闻
百格视频
ADVERTISEMENT
