喷防晒突暴喘 双肺全白 医警告这用法很危险



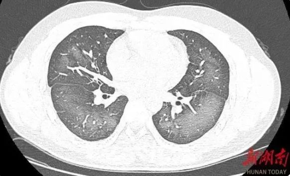
中国湖南长沙一20岁男生李林(化名)近日在外出前使用了防晒喷雾,在对著面部喷洒时一不小心误吸,随即出现胸闷、咳嗽的症状。症状一直持续到第二天仍未好转,他急忙来到湖南省长沙市第三医院就诊。经检查,肺部CT片显示,李林双肺居然呈现大范围白色样病变,报告提示“白肺”。
ADVERTISEMENT
据《新湖南》客户端报道,“白肺”一般是指重症肺炎在X线或CT检查下的表现,患者肺部呈现一大片的白色状态,往往会出现呼吸困难、呼吸衰竭,严重者还会出现其他脏器功能障碍。
“白肺”常见于高龄(65岁以上)、免疫力低下、有重要器官慢性病史(如心脏病、中风史、慢性肾脏病、慢性阻塞性肺疾病等)、有多种疾病并存(比如既有高血压、糖尿病,又有心脏病、肺病、肾功能不全)等人群。
长沙市第三医院放射影像科的接诊医师表示,吸入有害物质如粉尘、喷雾等,也可导致肺部出现大范围白色样病变。这名年轻的患者就是因为使用不当,吸入了一部分防晒产品进入肺部,导致“白肺”的发生。
急诊医生给予吸氧、化痰、抗感染等相关治疗后,李林症状得到明显改善。(《新湖南》照片)
ADVERTISEMENT
热门新闻
百格视频
ADVERTISEMENT
