世界首例 澳妇女脑部惊现蛇体内常见蛔虫



(悉尼29日法新电)澳洲医生们周二表示,他们在一名妇女脑部取出一条“活生生、蠕动着”,通常在蛇体内发现的蛔虫。这是医学界首次发现此种令人恶心的情况。
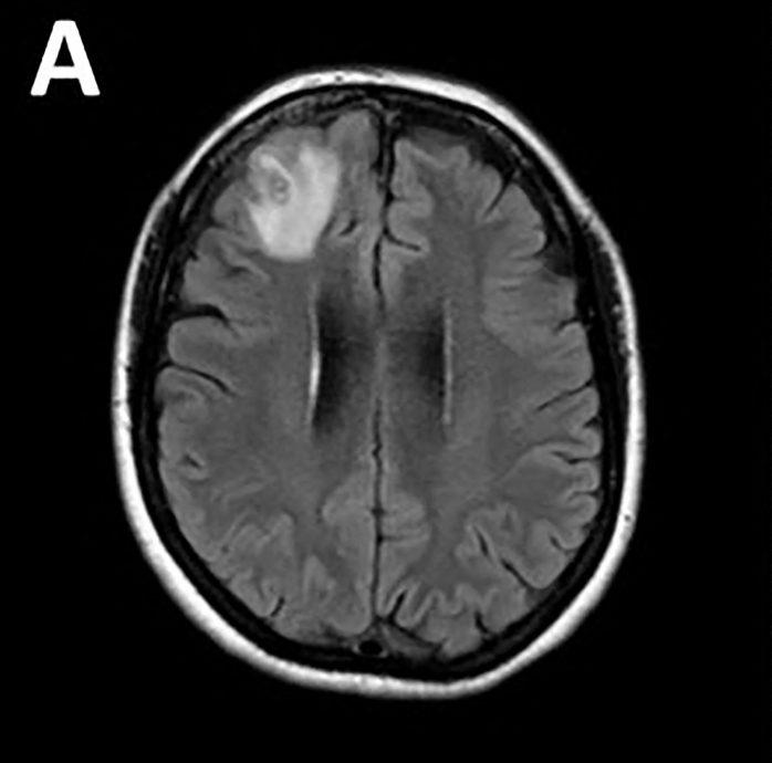
医生们对于一名64岁澳洲妇女开始出现记忆差错问题的起因感到困惑,对她进行核磁共振造影(MRI)检查后发现她的脑前方有“非典型病变”。那是一条长达8公分的“蛇蛔属”(Ophidascaris robertsi)蛔虫。研究人员指称,这是在袋鼠和毡蟒体内常见的寄生虫,但人类体内并不曾见。
ADVERTISEMENT
传染病专家瑟纳纳雅克说:“这可说是全世界有史以来首宗人类感染‘蛇蛔属’蛔虫病例。”
“据我们所知,这也是首宗涉及任何哺乳类物种,不论是人类或其他动物脑部的病例。”
研究人员认为,这名妇女是在她家附近寻找可食用植物时受感染,而那里可能受到蛇粪便内的寄生幼虫感染。
这条寄生虫在脑部扫描之下呈现“弦状结构”,之后通过脱氧核糖核酸(DNA)检测确认。
瑟纳纳雅克表示:“成为任何病的世界首个病人从来都不容易,也无人想要。”
“我说不尽我们对这位妇女的钦佩,她在这过程中展示了耐心和勇气。”
瑟纳纳雅克说,据了解。“蛇蛔属”蛔虫也在世界其他地区感染动物,而“未来几年可能会有其他病例被识别。
医生们的这项研究结果发表于美国《新发传染病》期刊。
打开全文
ADVERTISEMENT
热门新闻
百格视频
ADVERTISEMENT
