恐怖意外!亲子拔河比赛用麻绳绕手 浙江妈妈手腕竟被绞断



(浙江15日综合电)来自浙江宁波的小美(化名)日前参加亲子拔河比赛时,为更好地发力,便将麻绳绕在右手手腕上,没想到双方发力后,她的手腕被麻绳绞住,被送到宁波市第二医院时,腕关节已完成骨折脱位,被诊断是腕部离断伤。医院马上为她做手术,成功保住右手!
小美来到医院后,急诊医生已判断血运不佳,经手显微修复外科医生会诊后,判断她的控关节和远动静脉血运可能都已离断,需要马上进行断腕再植术。
ADVERTISEMENT
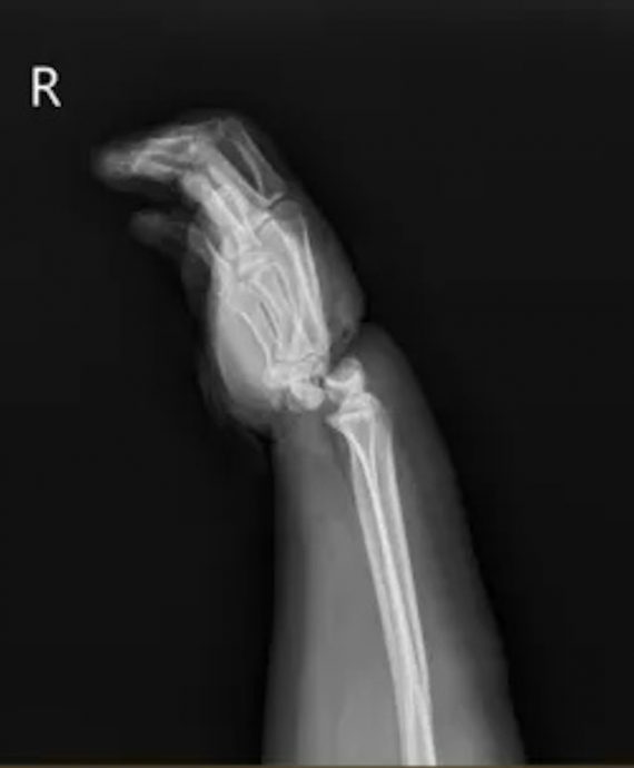
宁波第二医院显微修复外科副主任郭宗慧说,小美入院时右手十分肿胀,手腕严重变形,被绳勒过的皮肤已坏死,手掌因缺血呈现青紫色。经检查发现,小美的腕关节受暴力绞压,两条动脉血管已断,并伴有长段血管损伤,静脉血管出现长段栓塞,手抌关节已完全骨折脱位,有近1公分宽的环形皮肤被挤压坏死。
小美入院时距离受伤已过去3小时,手掌的毛细血管中已形成血栓,耽误时间越儿,手掌因缺血而坏死的可能性越大。为了保住小美手掌,恢复手掌的血液流通,院方马上为她安排手术。

手术中,医生先用500毫升抗凝药液为小美疏通手掌血管,再复位腕部断裂和脱位的骨头,然后再接通8条血管,修复挫伤的神经,缝合断裂的腕部肌腱,耗时4个多小时为小美“保住”右手,重建右手血运及功能。
目前小美已过危险期,后续只需拆除手部钢针,继续锻炼手部功能,只是右手精细运动还是会受到一定影响。
郭宗慧提醒,拔河时不要将绳拴在手腕、手臂、腰部,“受力的绳力威力不亚于剪刀,绞伤甚至比锐器割伤更严重。”手部外伤在日常生活中比较常见,比如受伤流血,可用干净的毛巾提前简单包扎止血。骨折后可用硬木板或硬纸板临时固定,防止进一步损伤,出现手外伤后要及时求诊,早诊断早治疗。(香港01)
ADVERTISEMENT
热门新闻
百格视频
ADVERTISEMENT
