男子爱吃半熟培根 寄生虫脑内产卵



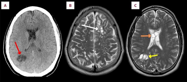
(迈阿密9日综合电)美国佛罗里达州一名男子因为严重偏头痛持续数月而求诊,医生透过电脑断层与核磁共振造影检查发现,男子的大脑中有绦虫(tapeworm)寄生,甚至在脑内产卵,刺激了头骨下组织,确诊为神经囊虫病(neurocysticercosis)。
由于这名52岁的患者喜欢吃“较软”的培根,医生怀疑他可能是在食用未煮熟的培根时,感染了寄生虫。
ADVERTISEMENT
综合纽约邮报等美媒报导,这起病例7日被刊登在《美国期刊病例报告》上,患者原本就有偏头痛、第2型糖尿病与肥胖病史,就诊前4个月偏头痛忽然加剧,原先服用的药物也不再见效。医生检查发现,他的大脑左右半球都有多个囊肿,伴随肿胀情形。
传染病专家证实,患者的大脑中有一种称为猪肉绦虫(又名有钩绦虫)的寄生虫存活,还在脑中产卵,头骨下的组织因此受到刺激。加上血检结果,确认他罹患神经囊虫病,并给予抗寄生虫、消炎药物治疗,2周后病情有所好转。
医生认为他是在食用未煮熟的培根后,吞咽了微小的绦虫卵,再透过血液从肠道传送至大脑。
报导指出,绦虫携带著大量的刺或钩附著在宿主身上,利用自身表面吸收营养与排出废物,同时拥有雄雌生殖器,可以成熟产卵。
医生表示,猪肉绦虫的幼虫囊肿(寄生虫未成熟阶段封闭的囊)感染身体部位并引起发炎,就会出现这种疾病,症状取决于囊肿的位置与数量,但大约8成患者会癫痫发作,若偏头痛加剧也需要提高警惕。
须注意的是,神经囊虫病具有传染性,同住家人吃进由患者准备的食物也有可能感染,患者应勤加洗手避免透过粪便传播虫卵。
ADVERTISEMENT
热门新闻
百格视频
ADVERTISEMENT
