一根针“冻死”肺癌细胞 深圳医院首采新技术成患者福音



(深圳28日综合电)中国深圳龙华区人民医院近日成功为一名肺癌患者,开展广东首宗“经支气管冷冻消融术”。突破了传统经胸壁冷冻消融术式的局限,成为肺癌患者的福音。
香港01引述《第一现场》报道,62岁的朱先生咳嗽伴气促已有4年,近半年病情加重。近日,他在龙华区人民医院呼吸与危重症医学科经支气管镜检查并活检,确诊为小细胞肺癌,医院于是决定采用新技术——经支气管冷冻消融术为他治疗。
ADVERTISEMENT

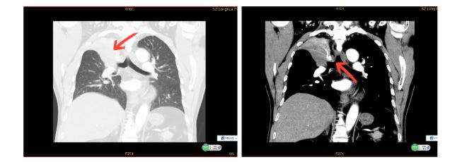
手术当天下午麻醉科主治医师谢凌峰麻醉成功后,呼吸内科主任沈观乐在余瑞林副主任医师配合下,顺利插入硬质支气管镜,再通过软镜下置入一次性软性冷冻消融针,在导管推动下,经支气管精准到达癌变病灶,对肺结节实现冷冻消融,将癌细胞“冻死”。术后翌日,朱先生的咳嗽症状就明显缓和了。
据介绍,采用经胸壁穿刺的硬针,穿刺会损伤路径上的重要结构,如正常肺组织、胸膜、叶间裂、气管、血管等,极易导致气胸、出血、针道种植等并发症。此外,经胸壁穿刺可能受到血管、肩胛骨和肋骨等结构的阻碍而无法到达病灶。
而经支气管冷冻消融术,堪称是肺部肿瘤的“冰雕”技术。技术的核心在于使用一种特殊的冷冻消融设备,通过支气管途径将冷冻探针精确地送达肺部肿瘤的位置,利用超低温(通常达到零下150摄氏度)迅速冷冻并破坏肿瘤组织,从而达到治疗目的。

公开资料显示,肺癌是全球范围内最常见的恶性肿瘤之一,其发病率和死亡率极高。根据世界卫生组织(WHO)的数据,肺癌是导致癌症死亡的主要原因。
ADVERTISEMENT
热门新闻
百格视频
ADVERTISEMENT
