“我有孩子我不想死” 男子气胸急诊 忏悔发誓戒烟



(八打灵再也5日讯)“我……我还想活下去……我有个年幼的孩子……”
一位年轻男子送进急救室时,因已出现严重的呼吸困难,勉强的对著呼吸内科兼睡眠障碍专科医生努鲁雅欣说出这番说。
ADVERTISEMENT
努鲁雅欣在脸书专页叙说事件时说,这发生在一个早上,护士急促的敲门:“医生,有紧急个案……年轻男子,严重呼吸困难。他的妻子推著轮椅把他送来,他已无法说话了。”
努鲁雅欣立即跟随到候诊区,她看到是一位三十来岁的男子,脸色已很苍白,看似工作服还沾著灰尘,满身大汗。他的呼吸急促,双眼彷佛在喊救命,而在身边的妻子,则紧紧的握著他的手,泪水不停流下。
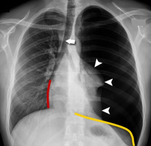
初步检查发现,努鲁发生这年轻人的左侧肺部完全听不见呼吸声,胸腔一片“寂静”。努鲁雅欣指这情况称为“气胸”。(Pneumothorax)。
她马上向年轻人说明必须紧急处理:“我们必须即刻穿刺并插入导管,排出气体。”
尽管呼吸困难,男子仍点头答应,恳求医生救他一命:“我还想活,医生……我有个小孩……我想戒烟,我发誓……”。男子断断续续的说著。
经过X光扫瞄和检查,证实他患的是“张力性气胸”(Tension Pneumothorax)。
努鲁说,这是气体积聚在胸腔,压迫著心脏和右肺,如果再迟一点到医院,“可能就来不及了”。随后她紧急处理医治,同时开出止痛药后,并插入胸管排出积气。
不久后,男子的呼吸渐渐恢复稳定,原本无血色的脸转为红润,眼睛也睁开了。
3天后,努鲁去巡视,男子看起来精神多了,明显已在在恢复,而病床放著一包已被揉烂丢弃的香烟。
男子说:“医生,我想道歉。我毁了自己的肺。我从15岁开始抽烟,但今天我戒了,我忏悔,上苍给了我第二次机会,我不会再浪费。”
在脸书拥有逾4万2000名追随者的努鲁,也借此事件分享几个重点。
一)香烟不仅毁肺,也会毁掉生命。有时候,一切来得太迟。但只要还活著,就还有机会改变。
二)气胸可以发生在外表看起来健康的年轻吸烟身上,但不要等到症状严重才就医。
三)医生不只是治病,也在挽救婚姻、家庭和未来。
四)第二次重生机会是无价的。如果上苍给你重新活著的机会,千万别浪费。
五)生命非常脆弱,一个肺部的小破洞,就可能让一切结束。
ADVERTISEMENT
热门新闻
百格视频
ADVERTISEMENT
