爱运动没抽烟肺却白了一片!“21岁的我只剩下一个肺”



(台北5日综合电)“21岁的我,只剩下一个肺……”
台湾一名男子日前因身体不适看医生,意外发现肺部白了一片,最后被确诊生殖细胞癌,让爱运动、不抽烟的他忍不住崩溃:“我才21岁!”
ADVERTISEMENT
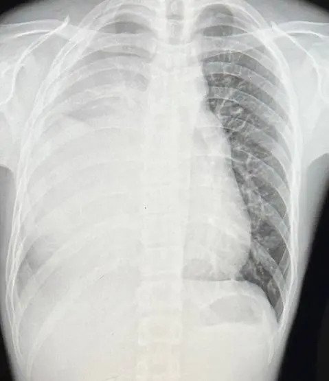
他日前在网络Dcard平台发文,指自己在7月间因胸痛到医院进行检查,报告显示他的肺部出现一片白色,证实罹癌。
检查后发现,有个15公分大的肿瘤长在纵隔腔处,开始化疗时肿瘤更增长至20公分,经3次化疗后才未持续变大,但也没有缩小。
男子表示,化疗副作用导致恶心想吐、食欲不振甚至频做噩梦,而肿瘤亦在坏死过程中纤维化。
“我一辈子只剩下一边的肺了,一边已经失去功能了”。
他指出,当他被医生告知该坏消息时,当下直接崩溃,一切不安瞬间涌现,并对未来充满未知数。
他说,自己是一个不抽烟的人,但身边多数家人都有抽烟习惯,难以确定其中是否有间接影响。
“我非热爱户外运动,如爬山、骑脚踏车等,如今只想赶快再体验一次过往的快乐。

“只渴望尽早结束化疗,回归平凡生活。”
与此同时,他也提醒民众,希望大家好好爱自己和保护自己的身体。
上述帖文上传社交媒体后,许多网民纷纷涌入留言区替他加油打气。
“或许言语无法改变情况,但仍希望他能够乐观面对,千万不要放弃自己”;“加油!不知道该说什么,但努力过完人生吧”;“知道你已经非常努力了,希望你一切都好”;“祝你早日康复”。
与此同时,医护人员也在帖中澄清,指男子罹患的生殖细胞癌并非与抽烟有关,该癌症属于睾丸癌。
“欣慰的是,这歌个癌症是少数末期也有机率靠化疗手术完全治愈的癌症,因此积极正面应对就好。”

ADVERTISEMENT
热门新闻
百格视频
ADVERTISEMENT
