边喷边说话没屏住呼吸 女子吸入防晒喷雾变白肺



(绍兴21日综合电)中国浙江省一名女子和和母亲外出吃饭逛街前,特地使用了新买的防晒喷雾(防晒倍数SPF50+、12小时持久防晒的蓝色防晒喷雾),出门前一边对着脸和脖子喷射,一边和妈妈说话,结果刚喷完就咳嗽不止,一小时后开始呼吸困难,送院急诊后发现她的双肺呈现大范围白色样病变,被诊断为“急性过敏性肺炎”。
中国新闻周刊报导,当时这名女子丽丽(化名)一边说话一边喷防晒喷雾,并没有屏住呼吸,刚喷完就不断咳嗽,而且越咳越凶。一个小时过去,她越来越感觉不舒服、呼吸也越来越困难,赶紧在父母陪伴下前往浙江大学医学院附属第一医院急诊科就诊。
ADVERTISEMENT
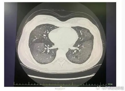
急诊科童娅玲主治医生经CT检查发现,丽丽的双肺呈现大范围白色样病变,报告提示“白肺”。丽丽被诊断为“急性过敏性肺炎”,于是对她给予吸氧、激素抗炎抗过敏等对症方法处理后,急性症状得到缓解,将她收入呼吸内科病房进一步住院治疗。
急诊科主任陆远强主任医生解释,“白肺”与使用防晒喷雾时吸入的有害物质有关,喷雾中的某些化学成分会刺激诱发一系列过敏反应,从而导致广泛的气管、支气管乃至肺水肿,让肺部无法正常工作。
询及防晒喷雾是否就应该对著脸上喷以及正确使用方法,专家建议,防晒喷雾应避免在狭小密闭不通风空间内使用,主要喷洒在身体上,与皮肤保持10至20公分的距离;不能直接对着面部喷洒,一定要避开眼睛、口、鼻等部位,应将防晒产品先喷到手掌上,再往脸上涂抹均匀。
ADVERTISEMENT
热门新闻
百格视频
ADVERTISEMENT
