星洲网
星洲网
星洲网 登入
Newsletter|星洲网 Newsletter 联络我们|星洲网 联络我们 登广告|星洲网 登广告 关于我们|星洲网 关于我们 活动|星洲网 活动

ADVERTISEMENT

ADVERTISEMENT

副刊

|

养生

发布: 12:00pm 29/10/2021

癌症

养生

盛晓峰

肺癌

癌细胞转移

正电子发射断层扫描

PET-CT

肺癌转移脑部

颅骨内水肿

脑神经外科兼脊柱专科医生盛晓峰/肺癌患者癌细胞转移脑部 必须开刀治疗

作者:盛晓峰

病人简介:
廖大叔,69岁的病友,因脑部必须开刀治疗。

自2016年起,医院里的肿瘤科就成了廖大叔的半个家,各种化疗、电疗、标靶治疗和免疫疗方都做过,他常开玩笑说自己用尽洪荒之力和肺癌搏斗,5年来,病情相当稳定,全身电脑断层扫描也证实肿瘤缩小了,让廖大叔对未来重燃希望,深信自己可以战胜病魔。

ADVERTISEMENT

直到上月,廖大叔洗头时摸到右边头颅凸起一小块,不痛不痒,起初不以为意,后来肿块越来越明显,为慎重起见,咨询了肿瘤科医生。

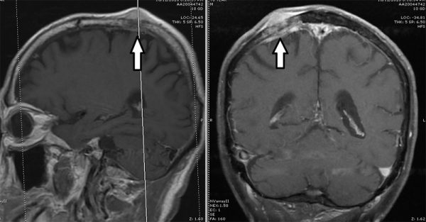
医生怀疑是肺癌转移脑部,遂安排廖大叔进行)。在放射性核素扫描下,确定廖大叔的颅骨内有水肿和膨胀现象,连带脑膜也肿了起来,而造成此现象的可能性只有一个,那就是脑颅骨转移。

这份报告像一盆水泼下,浇熄了廖大叔心中的希望火焰,令他呆若木鸡,含泪无语问苍天。

肺癌转移脑颅骨(箭头处)。

明明肺部的肿瘤已经缩小,怎么可能会是脑转移?廖大叔的心里充满疑问和不甘。我向他解释,肺癌、胃癌、乳癌、肠癌、甲状腺癌等,都是比较容易出现转移的,而转移的部位一般都是身体含血量最多的部位,譬如大脑、脊椎和肺等。

我劝廖大叔无论如何尽快开刀,以便进一步诊断。冷静下来后,他也决定不放弃,要与癌细胞奋战到底。

我用了立体定向开颅术,在廖大叔的头颅上切除了5公分乘6公分、厚度25毫米的颅盖,把肿瘤细胞、脑膜和病变组织完全切除干净,之后,再以钛镁重建颅骨和脑膜。

手术成功,伤口愈合良好,廖大叔比想像中康复得更好,也没有出现后遗症。化验报告证实是脑颅骨转移,待伤口完全愈合后,他就会到肿瘤科报到,接受电疗,消灭残留的癌细胞。

【医学常识】什么是正电子发射断层扫描(PET-CT)?

正电子发射断层扫描是利用放射性核素作为示踪剂,扫描时,人体代谢的葡萄糖或氧等物质会被标记,身体某个部位使用越多的葡萄糖或氧,该处的示踪剂积聚就越多。扫描图象利用颜色的深浅不同,来显示不同水平的活跃程度。

盛晓峰(Dr. Sia Sheau Fung),脑神经外科医生兼神经外科和脊柱专科顾问,早前服务于马大医药中心,目前在私人医院执业,同时也是马大医学院的客座讲师,热衷于医学研究及写作。个人邮址:[email protected]
相关文章: 

盛晓峰/椎间盘胶质凸出致马尾症候群 缅甸移工须以轮椅代步 

盛晓峰/市场经理海绵状血管瘤 只要保守治疗,不需开刀切除  

盛晓峰/高复发自身免疫性疾病 工友神经脊髓炎  

盛晓峰/颈脊髓空洞症及脊髓瘤——轻则手脚麻痺双脚无力,重则大小便失禁   

打开全文

ADVERTISEMENT

热门新闻

百格视频

ADVERTISEMENT

点击 可阅读下一则新闻

ADVERTISEMENT