星洲网
星洲网
星洲网 登入
Newsletter|星洲网 Newsletter 联络我们|星洲网 联络我们 登广告|星洲网 登广告 关于我们|星洲网 关于我们 活动|星洲网 活动

ADVERTISEMENT

ADVERTISEMENT

副刊

|

养生

发布: 9:00am 01/04/2022

养生

盛晓峰

阻塞性脑积水

脑积水

水脑症

头晕目眩

脑脊髓液

脑神经外科兼脊柱专科医生盛晓峰/突然头晕目眩 诊断出阻塞性脑积水

作者:盛晓峰

病人简介:龙太太,43岁的中国湖南籍陪读妈妈,因突然,被诊断出是

望子成龙是天下父母共同的心愿,龙太太亦然,为了让孩子打好英文基础,4年前她毅然陪着独生子到吉隆坡求学,从此,陪读成了她的志业,孩子就是她的全部。异乡陪读的生活忙碌又枯燥,好在孩子争气,很快赶上学习进度,儿子的好成绩就成了她的快乐泉源。

ADVERTISEMENT

去年11月中,平静的陪读生涯被突如其来的头晕目眩打乱了,除了眩晕,龙妈妈的身体也感觉忽冷忽热,全身乏力,手脚活动欠灵活,手指发麻。

在吉隆坡生活4年余,除了两年前中过骨痛热症,龙妈妈的健康向来良好,这次突然身体不适,让她十分忧心。

她先向脑神经内科求医,医生担心是脑膜炎,就给她做了腰椎穿刺测试脑脊髓压力。正常人的脑脊髓压力是15毫米水柱,龙妈妈却高达34毫米水柱,之后的断层扫描检查发现有现象,视神经也轻微肿胀,幸好视力还未受损。

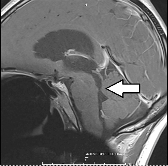
脑干和小脑之间的下水道狭窄,脑脊髓液的循环受阻(箭头处)。

以磁力共振扫描作进一步诊断时,我发现龙妈妈的脑干和小脑之间的下水道狭窄,的循环受阻,造成慢性脑积水,导致脑压升高,引发视神经水肿、眩晕等症状。

脑积水又称,可分成阻塞性和非阻塞性两大类,一般的脑积水可由脑肿瘤、脑室内出血、中风、脑畸形、脑膜炎、天生下水道狭窄等原因造成,症状有头痛、头晕、善忘、步伐不稳、失智、视力模糊、学习功能障碍等。

知道自己罹患阻塞性脑积水、而不是脑瘤或其他更棘手的脑部疾病时,龙妈妈反而松了一口气,可以心平气和地聆听我接下来提出的医疗方案。

微创脑室造口术(Endoscopic third ventriculostomy-ETV)。

我告诉她说,脑积水的治疗方式主要有两种,第一种是脑室腹腔引流术(VP shunt),第二种是微创脑室造口术(Endoscopic third ventriculostomy),龙妈妈考虑了一下,选择了第二种治疗方式。

手术时,我借助内视镜深入龙妈妈的颅底脑室开一个小洞,让脑脊髓液可以从这个开口流出,恢复正常循环。手术耗时45分钟左右,术后清醒过来时,龙妈妈的眩晕和不适症状已经大有改善,住院3天后,我就批准她回家了。

我叮嘱她在3个月后回来做追踪检查,看看脑室的造口有没有缩小,以及视神经有否消肿等。如果术后效果良好,脑脊髓液循环顺畅,龙妈妈就可以恢复以往的自在生活,与常人无异了。

盛晓峰(Dr. Sia Sheau Fung),脑神经外科医生兼神经外科和脊柱专科顾问,早前服务于马大医药中心,目前在私人医院执业,同时也是马大医学院的客座讲师,热衷于医学研究及写作。个人邮址:[email protected]
相关文章:   

盛晓峰/中风开颅手术重植头骨发生排斥 厨师脑膜外脓肿 

盛晓峰/福建老太太腰椎崩塌 压迫神经根 一动就痛 

盛晓峰/高处摔落致头部钝挫伤 生死一线 

打开全文

ADVERTISEMENT

热门新闻

百格视频

ADVERTISEMENT

点击 可阅读下一则新闻

ADVERTISEMENT