星洲网
星洲网
星洲网 登入
Newsletter|星洲网 Newsletter 联络我们|星洲网 联络我们 登广告|星洲网 登广告 关于我们|星洲网 关于我们 活动|星洲网 活动

ADVERTISEMENT

ADVERTISEMENT

副刊

|

养生

发布: 10:00am 29/04/2022

养生

盛晓峰

遗传病

脑瘤

神经纤维瘤

Neurofibromatosis

养生

盛晓峰

遗传病

脑瘤

神经纤维瘤

Neurofibromatosis

脑神经外科兼脊柱专科医生盛晓峰/神经纤维瘤患者 右脑长了罕见黏液样星形细胞瘤

作者:盛晓峰

病人简介:小霞,24岁的患者,右脑长了罕见的黏液样星形细胞瘤必须切除。

不知情的人,绝对不会猜到小霞是先天性神经纤维瘤患者,因为她是那么的开朗,尤其是谈到在菜市场卖菜的趣事时,表情生动,语气活泼,感觉就是一个充满生命力的阳光少女。只有掀开长袖衣裤时,才会看到她的身体上长满大大小小的神经纤维瘤,皮肤上也布满棕色斑点,双脚有点像“象脚”,长了一层层向下垂坠的多余皮肤。

ADVERTISEMENT

因为瘤粒和斑点没有长在脸上,所以只要她穿上长袖衣和长裤,就可以把身体上的赘生物掩盖起来。“藏起来不是因为自卑,而是不想吓到陌生人,也不必费口舌跟人解释自己的病!”她微笑说道。

小霞身体上长了大大小小的神经纤维瘤。
脚部一层层向下垂坠的赘生皮肤。

神经纤维瘤()是,神经系统上会长出柔软的肉瘤,皮肤上有类似牛奶咖啡色的斑点,小时候小霞偶尔会癫痫,必须吃药治疗,长大后病情有所改善,最近3年才停止吃药。

她会走进我的诊所,是因为这一两个月来她突然变得善忘,经常忘记顾客要什么,也常常找错钱,无法集中精神,偶尔还会头晕作呕。

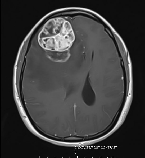
一开始小霞以为自己食物中毒,去急诊部挂号,做了断层扫描后,才发现有脑肿现象。脑部消肿后,再做磁力共振扫描,这才清楚看到右脑前方长了一颗网球般大的肿瘤,压迫右脑,造成善忘、头晕、头痛、精神散漫等问题。巨形肿瘤也造成右脑往左脑的方向推挤,导致脑水肿和颅内压增高。

在这种情况下,小霞只有一个选择──手术切除肿瘤。我向小霞的双亲及妹妹仔细解释治疗方案和风险,乐观的小霞听到要开刀,犹豫了一下,但很快就决定接受手术,还反过来劝父母不要担心,因为医学昌明,挨刀没什么好怕的!

手术历时4小时左右,以超音波吸引器(ultrasonic aspirator)精确切除肿瘤,并没有伤及周围水肿的脑部细胞。

长在右脑前方的巨大肿瘤,造成右脑往左脑推挤,导致脑水肿和颅内压增高。

化验报告出炉,证实是罕见的黏液样星形细胞瘤(Pilomyxoid astrocytoma),世界卫生组织对此肿瘤并没有分级,医学界认为它可能有较高的局部复发率,也可能蔓延至其他部位。

不过,如果肿瘤已经完全切除,后绩治疗还是可以比较乐观。

但无论如何还是不能掉以轻心,小霞必须每3个月定期覆诊,毕竟她是神经纤维瘤患者,风险比别人高了一些。

小霞问我,是不是神经纤维瘤导致她脑部长瘤?对此,我只能跟她说抱歉,因为医学界还没有办法证实这一点,也无法知道那颗黏液样星形细胞瘤在她的脑袋里存在了多久。

接下来她可以做的,就是如期覆诊,密切追纵检查,此外,短期内她不宜做粗重工作,妈妈也不让她到菜摊了,只允许她留在家中帮忙做账目。

盛晓峰(Dr. Sia Sheau Fung),脑神经外科医生兼神经外科和脊柱专科顾问,早前服务于马大医药中心,目前在私人医院执业,同时也是马大医学院的客座讲师,热衷于医学研究及写作。个人邮址:[email protected]
相关文章:   

盛晓峰/肺癌颈椎骨转移 须切除和重建崩塌的颈椎 

盛晓峰/突然头晕目眩 诊断出阻塞性脑积水 

盛晓峰/中风开颅手术重植头骨发生排斥 厨师脑膜外脓肿 

打开全文

ADVERTISEMENT

热门新闻

百格视频

ADVERTISEMENT

点击 可阅读下一则新闻

ADVERTISEMENT