神经科与内科专科顾问陈伟阳/心源栓塞性中风幸存者 自行减药致二度中风


病人简介:房太太(化名),68岁的心源栓塞性中风幸存者,因没有按规律服药,导致二度中风,不幸辞世。
房太太今年68岁,3年前第一次中风,当时医生就诊断出除了三高,她还有心房颤动(atrial fibrillation)的问题,第一次中风,就是因为心房颤动造成心脏血栓,导致心源栓塞性中风(Cardioembolic stroke)。
ADVERTISEMENT
心房颤动简称“房颤”,属于心律不整的疾病之一,症状是心跳快速又紊乱,导致心悸、呼吸不畅、晕眩等,但最可怕的是造成心脏血栓,引发中风。当房颤发生时,心房血流会变得缓慢,从而形成血块,当血块随着血液流出心脏,并流到脑部时,便会引发中风。
第一次中风治疗后恢复良好,生活也慢慢回到正轨,进人第三年后,房太渐渐觉得自己病好了,再加上担心长期吃药会有副作用,就自作主张减药。结果距离首次中风恰好3年半,中风复发,家人发现她时已是神志不清,倒地不起。
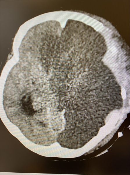
检查后,我发现她的颈动脉栓塞,也就是房颤形成的血块堵塞了颈动脉,令血液无法送达大脑,进而造成半个脑部出现严重的缺血性中风,因为缺血的范围极大,颅内压升高的情况也非常严重。

脑中风的治疗是分秒必争,如果确诊为缺血性中风且病发时间在3小时内,可以注射静脉血栓溶解剂,打通脑部血栓,减少脑组织的伤害。但房太因为延误送医,错过了黄金三小时,所以无法进行血栓溶解治疗。
但我们没有放弃抢救,脑神经外科医生第一时间为她做了紧急开颅手术,也就是把头骨打开减压,舒缓脑肿胀。
可惜最终我们还是没能把房太从死神手中抢过来,入医第二天,她就撒手人寰,令家人哀恸崩溃。
在此,我想要提醒中风幸存者、慢性病人和三高症病患,切莫轻忽二度中风的危险性,一定要遵循医生的指示服药,不要因为觉得身体没有大碍,就擅自减药甚至停药。
有缺血性中风前科的病人,必须长期有规律地服用抗血小板药物,避免血栓引致中风复发。很多时候,二度中风的症状都会比首次中风严重,就算逃过一劫,复元情况也大不如前,所以一定要小心二度中风的威胁。

相关文章: 陈伟阳/胸腺瘤致胸腺素分泌过盛 引发重症肌无力 陈伟阳/女子频“断片”数秒后回过神来 诊断出脑膜瘤引发癫痫 陈伟阳/带状皰疹没及时就医疼痛难忍,病毒沿着神经线繁殖蔓延
ADVERTISEMENT
热门新闻
百格视频
ADVERTISEMENT
