男童误吞水晶宝宝 体内狂胀肠险挤破



高雄一名1岁多的男童,因误食“水晶宝宝”而被带到医院急诊,X光片发现,男童的小肠阻塞且胀大,经2度剖腹手术后,取出数颗大小不一的水晶宝宝,男童术后被灌洗食盐水,陆续又排出碎渣,所幸住院半个月后已经康复出院。
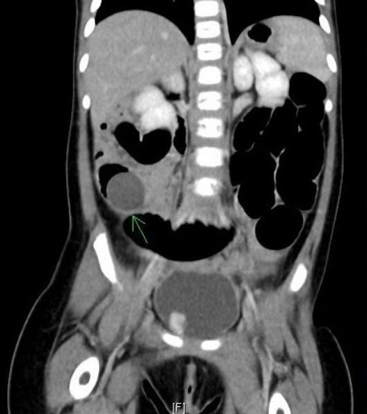
高雄长庚儿童胃肠科赖宛孜医生表示,X光片中男童小肠有阻塞及涨大情形,因此安排腹部电脑断层扫描,发现男童右下腹有圆形异物导致小肠阻塞,紧急连同小儿外科医生进行剖腹探查手术。
ADVERTISEMENT
手术过程中,取出大小不一的异物,确认是完整的水晶宝宝,还有其他胀破的残渣。不过手术后持续观察,发现男童仍有胀痛、呕吐情形,再次安排X光片检查,发现男童腹部仍有尚未取出的的水晶宝宝,因此安排第二次开刀。
第二次手术中,发现男童腹部仍有胀破无法被取出的残渣,因此将他转至儿童加护病房,以生理食盐水灌洗,男童才将水晶宝宝残渣顺利排出体外,并逐渐恢复食欲及活动力,住院半个月后康复出院。
赖宛孜指出,水晶宝宝为聚丙烯聚合物做成,也是尿布中吸水的成分,吸水力极强,吸收水分之后,小颗水晶宝宝可以膨胀到弹珠大小,而大颗水晶宝宝甚至能胀到如鸡蛋大小。
她提醒家长,水晶宝宝颜色鲜艳缤纷,可能会被幼童误食,而在肠道内涨大导致肠道阻塞,甚至肠道破裂引起腹膜炎或死亡。因此家中如有幼童,应将此类物品置于幼童不易取得之高处。若不小心或疑似误食,应尽速送医,勿自行于家中以生理食盐水灌食。


ADVERTISEMENT
热门新闻
百格视频
ADVERTISEMENT
