脑神经外科兼脊柱专科医生盛晓峰/银行经理患面肌痉挛 半边脸肌不自主地抽搐


病人简介:琦琦,31岁的银行经理,因面肌痉挛而不胜其扰,决定寻求微血管和神经线减压术治疗。
也许你身边也有罹患面肌痉挛(Hemifacial spasm)的朋友,他们的半边脸肌会不自主地抽搐,轻微的可能只是眨眼次数增加,较严重的嘴角会抖动,甚至半边脸颊也会抽动,造成怪异的表情,影响生活作息之余,对病人的身心灵也是一种折磨。
ADVERTISEMENT
琦琦罹患面肌痉挛有两三年了,初期病情不明显,“一开始以为是眼眉跳,后来眼睛开始不由自主地眨动,左边嘴角和脸颊也会跳动。当时刚好疫情暴发,大家都要戴口罩,口罩遮盖了大半张脸,刚好可以把嘴角和脸颊藏起来。但眼睛就没有办法,不知情的人,会以为我在跟他打眼色,或觉得我很古怪,都会忍不住多看一眼,让我很尴尬。”琦琦好像要宣泄心里积压已久的郁闷似的,一见面就滔滔不绝地说个不停。
她是银行经理,每天都得面对顾客,所以我完全可以想像面肌痉挛给她带来多大的压力。“姐姐甚至曾经被人误会她在给有妇之夫抛媚眼!”陪伴琦琦来看诊的亲妹妹透露。琦琦听了,做了一个哭笑不得的表情。
我问这位妹妹:“琦琦睡着时面肌会跳动吗?”“不会,就只有睡觉时不会跳动。”她回答。
这两三年来,琦琦看了许多医生,包括耳鼻喉科和脑神经内科,也注射过肉毒杆菌素,微调肌肉张力,舒缓抽搐情况,但每次只维持两三个星期,就再次打回原形。她也发现,肉毒杆菌素打多后会加速皮肤松弛下垂,“一边脸还看得出轮廓,另一边脸却松垮垮的,怎么办?!”她欲哭无泪地。
-600x484.jpg)
让家人更担心的是,向来开朗的琦琦慢慢变得自闭,社交圈子越来越小。“不能这样下去,一定要想个方子,一劳永逸把问题解决!”这是全家人的心声。
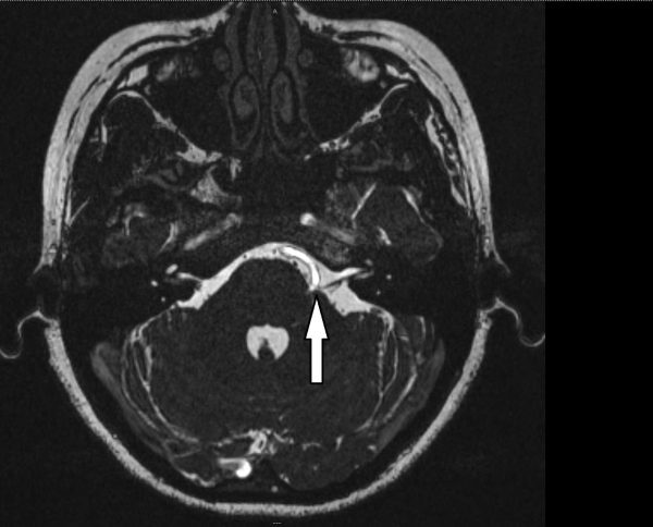
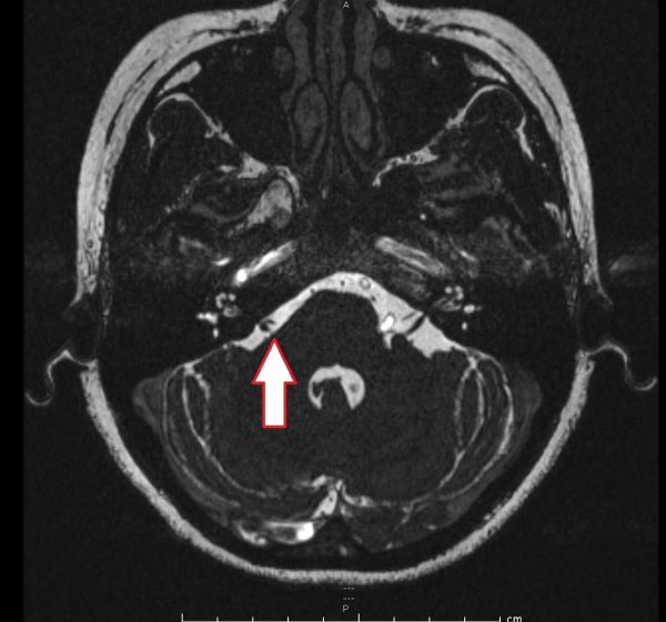
我先给琦琦做了磁力共振扫描,报告正常,大脑内没有肿瘤,但却看到脑干血管膨胀弯曲,压迫左边颜面神经线的出口处,造成神经线受压,引起左侧面肌痉挛。
要解决琦琦的问题,我建议以微血管和神经线减压术(Microvascular decompression, MVD),从根本上进行治疗。
这是一项微创手术,从耳朵后面的头颅上钻开小孔,经过小脑和大脑,找到膨胀弯曲的血管,将之挪开,然后在颜面神经线的出口处放一小块医疗用特氟龙(Teflon),避免神经线受挤压。
为了避免伤及神经,接近6小时的手术全程以颜面神经及听觉神经监控系统严密监测,确保安全。
-600x561.jpg)
术后,琦琦恢复良好,6星期后复诊,脸部的抽搐已经平伏了许多,只剩下轻微的颤动,左脸的线条也向上提拉了,两边脸的轮廓显得比较平衡。
“现在不必躲着不敢见人了,也不必担心被人误会、被人行注目礼了!”她嫣然笑道。

相关文章: 盛晓峰/非典型脑膜瘤 年龄越大 复发率越高 盛晓峰/左顶叶脑溢血性中风呈半昏迷状态 手术抢救过来 盛晓峰/B细胞淋巴瘤化疗时发生并发症 ——紧急肿瘤溶解综合症
ADVERTISEMENT
热门新闻
百格视频
ADVERTISEMENT
