脑神经外科兼脊柱专科医生盛晓峰/福建老太太腰椎崩塌 压迫神经根 一动就痛


病人简介:阿贵嫂,71岁的福建阿嬷,因突如其来的背痛而发现腰椎崩塌骨折。
社会迈向高龄化,近年来,和阿贵嫂类似的病例也有显著的增长,我希望借由这一篇专栏文章,温馨提醒女性长者们多注意脊椎健康。
ADVERTISEMENT
71岁的阿贵嫂佝偻着身体坐在轮椅上来到我的诊所,她眉头深锁,说话有气无力,也不敢有任何较大的动作,“一动就痛得死去活来!”女儿代她说道。
女儿也告诉我说,她的妈妈两个月前不是这样的,“虽然一把年纪,有糖尿病和高血压,但人很健壮,什么家务都难她不倒。我们从来没有想过她也有倒下来的一天,而且,这一天来得那么的突然,事前一点征兆也没有。”语气幽幽的,难掩哀伤。
阿贵嫂年轻时是割胶工人,六十来岁才放下胶刀,但她并没有机会享清福,因为患忧郁症的丈夫身体越来越差,她不想连累子女,就一个人揽下照顾丈夫的重任,10年来,任劳任怨,从来没有喊过一声苦。但人体始终不是铁造的,两个月前,她终于垮了下来。
当时,阿贵嫂突然背痛发作,痛得脸孔扭曲,剧痛从背部延至腰腹,整个人也站不起来。她不曾跌倒,也没有受伤,想来想去,唯一的可能就是之前扛了一桶煤气,许是用力不当,伤及脊椎。她的孩子们也慌了手脚,带她去诊所打针,也找中医做针炙和拔罐,但痛楚依然不减。

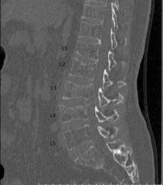
我给阿贵嫂做体检时,她的上肢没有大碍,下肢则虚弱无力,反射也偏低。起初我怀疑是马尾症候群,马上安排她做3D立体CT断层扫描,结果发现不是马尾症候群,而是因为第二至第四节腰椎(L2~L4)有崩塌的迹象,压迫神经根,造成疼痛。
由于没有伤及主要神经线,阿贵嫂暂时不需要侵入式治疗,我指引她到内分泌科,接受保守疗法。
除了止痛药,内分泌科医生也给她开了用于预防和治疗女性停经后骨质疏松症的Fosamax处方药,另外还有FORTEO特立帕肰注射剂,居家自行注射,为期至少半年,以便增加骨质密度,降低再次骨折的风险。
除了药物,阿贵嫂也可以穿医用护腰带,支撑腰部。医生也叮嘱她不宜静坐不动,坐着时,要多活动双脚,促进血液循环。
3个月后复诊,阿贵嫂的情况并没有太大的改善,她依然无法久站,行动得依赖四脚扶架,冲凉时需要女儿协助,频尿的问题也严重了。身心俱疲的她变得更抑郁寡欢,常常萌生消极厌世的念头,口口声声“不想拖累孩子”、“不想活了”,让人闻之心酸。
磁力共振扫描显示,阿贵嫂的腰椎崩塌确有恶化趋向,主要神经管也受到压迫。我决定为她进行微创水泥椎体成形手术(Cement vertebroplasty),在X光透视引导下,将骨水泥注入崩塌的第3节腰椎,支撑受损的椎体,同时也做了椎板切除手术,舒缓受压的神经线。
崩塌惡化,主要神經管也受到壓迫。-499x600.jpg)
术后第二天,阿贵嫂远远见到我就先坐了起来,笑呵呵地迎接我巡视病房。这也是我第一次看到她的笑容。第三天,我就让她回家休养了。
水泥椎体成形手术属微创手术,伤口很小,手术时间也不长,术后效果良好,有助改善生活素质,让病患对生活重燃信心。
两个月后,阿贵嫂拄着手杖前来复诊,她不但可以自行走路,晚上也能一觉到天亮。衷心祝福她,希望她可以无病无痛,安度晚年。

相关文章: 脑神经外科兼脊柱专科医生盛晓峰/高处摔落致头部钝挫伤 生死一线 盛晓峰/治疗师枕骨大孔脑膜瘤 四肢无力影响生活作息 盛晓峰/妇女颜面三叉神经痛 接受侵入式治疗
ADVERTISEMENT
热门新闻
百格视频
ADVERTISEMENT
