星洲网
星洲网
星洲网 登入
Newsletter|星洲网 Newsletter 联络我们|星洲网 联络我们 登广告|星洲网 登广告 关于我们|星洲网 关于我们 活动|星洲网 活动

ADVERTISEMENT

ADVERTISEMENT

副刊

|

养生

发布: 1:00pm 03/03/2023

养生

中风

盛晓峰

高血压

昏迷

瘫痪

植物人

脑干出血性中风

闭锁综合症

脑神经外科兼脊柱专科医生盛晓峰/建筑工友脑干出血性中风 成了植物人

作者:盛晓峰

病人简介:峰哥,54岁的建筑工友,因脑干成了,至今仍在加护病房,未脱离险境。

根据峰嫂的说法,峰哥有,4年前曾经小中风,但这几年来健康良好,少有病痛,他自恃身体好,对高血压掉以轻心,医生给的药物也是吃吃停停,忙起来时常忘记吃药,也没有回去医院复诊,疏以追踪及监督病情。

ADVERTISEMENT

在这里我想再次慎重提醒大家,小看高血压是大错特错,因为高血压是个无声杀手,总是突然把人杀个措手不及。

1月4日当天,峰哥如常放工回家,他把脏兮兮的外套丢进洗衣机后,就进入浴室。没多久,峰嫂发现浴室内毫无动静,叫门也没回应,于是撞门而入,始发现峰哥昏倒在地,四肢抽搐。

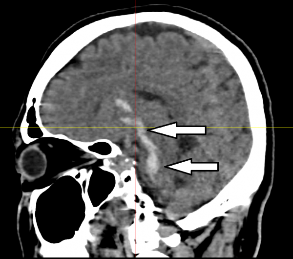
送到医院时,他已陷入重度,清醒指数只有3,无法自主呼吸,必须紧急插喉急救。血压则飙至220,电脑断层扫描时发现脑干中心的脑桥(pons)出血,证实是出血性中风,血块延伸至上端的基底神经节(basal brainstem),造成(Locked-in syndrome)。

仅占中风个案的1% 十分罕见

十分罕见,仅占中风个案的1%,却足以造成可怕的闭锁综合症。看过《潜水钟与蝴蝶》一书的读者应该知道,闭锁综合症是全身随意肌(除了眼睛)的一种症状,病患虽然意识清醒,但却无法动弹,不能言语,只能透过眨眼和转动眼球,与人沟通。

我告诉峰嫂和她的女儿,由于出血处位于大脑深处,手术极为困难,如果冒险开刀,手术误伤的可能性远比手术成功的几率大。再说,出血量不多,也没有继续出血的迹象,所以保守治疗是最好的方法,当务之急是控制血压和确保供氧充足。

身为医生,我也有责任告诉家属,峰哥的情况十分凶险,可能随时被缺氧引起的种种并发症夺去生命,就算他八字硬,大步槛过,日后也得长期卧床,所以家人必须做好心理准备,面对庞大的照护压力与经济负担。

──我知道这些话很残酷,但我不得不对家属坦白相告,仔细解说。

脑桥出血,导致出血性中风,血块延伸至上端的基底神经节。

在这艰难的时刻,有些家属可能会怨怼医生是不是不想救人,尤其是在家属听了不一样的第二意见后。峰哥的家人也一样。我心平气和地建议他们不妨再征询第三意见,再做决定。到了最后,他们总算放下心中的怨怼和恐惧,让峰哥接受保守治疗。

一星期后,峰哥的清醒指数升至7,家属同意做气管切开术,方便抽痰之余,也降低长期插管对口腔和喉咙的损伤。之后,峰哥又因为高烧不退,至今仍无法离开加护病房。

【医学常识】

问:闭锁综合症和脑死亡一样吗?
不一样。脑死亡是脑功能完全丧失,而闭锁综合症则是心智正常,患者只是无法使唤躯体,无法向外界表达自己的想法而已。换句话说,病患就好像被禁锢在一具没有生命的躯壳里。

问:什么是脑干?功能是什么?
脑干位于大脑下方、小脑前方,由中脑(midbrain)、脑桥(pons)和延髓(medulla)三个部分组成。脑干是大脑、小脑与脊髓相互联系的重要通路,负责接收和发送运动和感觉信息,是维持身体重要生理活动的反射中枢。

盛晓峰(Dr. Sia Sheau Fung),脑神经外科医生兼神经外科和脊柱专科顾问,早前服务于马大医药中心,目前在私人医院执业,同时也是马大医学院的客座讲师,热衷于医学研究及写作。个人邮址:[email protected]
相关文章:

盛晓峰/非典型脑膜瘤 年龄越大 复发率越高
盛晓峰/左顶叶脑溢血性中风呈半昏迷状态 手术抢救过来 

盛晓峰/银行经理患面肌痉挛 半边脸肌不自主地抽搐

打开全文

ADVERTISEMENT

热门新闻

百格视频

ADVERTISEMENT

点击 可阅读下一则新闻

ADVERTISEMENT