脑神经外科兼脊柱专科医生盛晓峰/裁缝师误诊为忧郁症 原来是嗅沟脑膜瘤在作祟


病人简介:龙妈妈,57岁的印尼华侨,两年前开始变得健忘、恍惚,一度误诊为忧郁症,后来才发现是嗅沟脑膜瘤在作祟。
龙妈妈是一位手艺精湛的裁缝师,3年前Covid-19疫期肆虐,生意做不下去,逼不得已才退下来。不久后,家人发现她渐渐变得沉默寡言,常常忘东忘西,注意力无法集中,逗她说话,她也无心搭理,还三不五时闹头痛。
ADVERTISEMENT
家人以为她无法适应疫情,放不下昔日相对充实的生活,以致心情抑郁。孩子带她去看医生,吃抗忧郁症药物,却也不见好转。
女儿珍妮见妈妈精神恍惚,记忆力日渐衰退,生活作息也日夜颠倒,担心她得了什么病,于是跟公司请了长假,带妈妈从印尼飞到吉隆坡求医。
做了体检后,医生为龙妈妈进行记忆力检测。除了自己的名字,岁数、生日日期、地址等她都一概记不起来,简单的数学题也无法作答。远期记忆功能减退,短期记忆也一样受损,刚发生的事或说过的话,转身就记不得了。
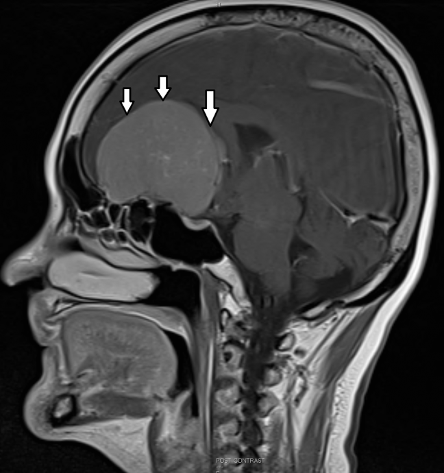
.png)
脑波检查时,脑神经内科医生发现龙妈妈的大脑机能出现障碍,于是转介到我的部门。做了电脑断层扫描后,才看到她的眼球后方颅底暗藏着一颗巨大的肿瘤,诊断为嗅沟脑膜瘤(Olfactory groove meningioma),由于体积太大(7x7x5cm),压迫前脑,造成颅内压增高,引发脑肿、反应迟缓、记忆退化等问题。
嗅沟是大脑额叶底部的一个脑沟,内含嗅束,嗅觉逐渐丧失是嗅沟脑膜瘤的早期症状。我无法从龙妈妈口中问到这方面的详情,只好转问珍妮,她想了想,说妈妈很可能这两年来都嗅不到任何味道,但家人忽略了,以为她只是对生活提不起劲。
当知道妈妈不是忧郁症,而是因为嗅沟脑膜瘤出现种种精神症状,嗅觉丧失两年却无人察觉时,珍妮不禁深深自责,愧疚不已。听到要切除肿瘤时,她又忐忑不安,担心妈妈承受不了开颅手术的后遗症。
我告诉她说,手术会有一定的风险,包括出血、细菌感染、脑水外流等,但不做手术的话,龙妈妈的病情会持续恶化,颅内压会再升高,脑肿、精神症状都会加剧,甚至可能影响视力、造成癫痫等。
珍妮考虑一番后,决定让妈妈接受手术。手术时,我借由电脑定位导航的协助,更精确、完整地切除肿瘤,避免误伤脑神经,同时,我也为龙妈妈修补脑膜,以防术后脑水外漏。
龙妈妈在加护病房住了两天后,转入普通病房,并开始做复健,嗅觉也慢慢复原。“太感动了,妈妈终于闻到美禄的香气!”珍妮兴奋地转告我。
除了恢复嗅觉,龙妈妈的精神状况也有好转,可以专注聆听,与女儿对话了。
两个星期后,珍妮和龙妈妈飞回印尼,临行前我提醒她要定时给妈妈服食抗癫痫药物,耐心静养至少半年,因为神经线的创伤需要6~9个月才能复原。
她用力点头,承诺会用心照顾妈妈,“我让她暂时住在我家,我不会再让她一个人生病一个人受苦了。”

点看更多文章: 盛晓峰/肾脏病患者长期洗肾 腰椎崩塌痛楚不堪 盛晓峰/建筑工友脑干出血性中风 成了植物人 盛晓峰/非典型脑膜瘤 年龄越大 复发率越高 盛晓峰/左顶叶脑溢血性中风呈半昏迷状态 手术抢救过来
ADVERTISEMENT
热门新闻
百格视频
ADVERTISEMENT
