星洲网
星洲网
星洲网 登入
Newsletter|星洲网 Newsletter 联络我们|星洲网 联络我们 登广告|星洲网 登广告 关于我们|星洲网 关于我们 活动|星洲网 活动

ADVERTISEMENT

ADVERTISEMENT

副刊

|

养生

发布: 9:00am 13/01/2023

养生

盛晓峰

肿瘤

脑瘤

脑膜瘤

非典型脑膜瘤

身体无力

使不上力

走路频跌倒

脑神经外科兼脊柱专科医生盛晓峰/非典型脑膜瘤 年龄越大 复发率越高

作者:盛晓峰

病人简介:达叔,70岁的退休人士,第二级患者,由于复发率高,所以手术后需要接受电疗。

达叔是一位注重健康的退休人士,一发现自己左侧和不灵活、走路频密跌倒时,不等孩子请假陪伴,就一个人摸上来求医。

ADVERTISEMENT

“只是左边身体出问题,脚比手严重,左脚几乎完全,皮肤上好像有蚂蚁在爬,酥酥麻麻的。医生,我是不是中风了?”他紧张兮兮地问。我连忙问有没有头痛和癫痫,回答说没有,再做电脑断层扫描,并没有中风的征状,但隐隐约约看到脑部浮肿。

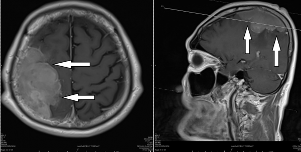
为了进一步诊断,达叔又做了磁力共振扫描,结果在右脑上端顶部发现一颗5x8x4公分的,大小相当于一颗网球,对脑部形成压迫,造成脑水肿和脑压增高,影响了左侧身体的活动,必须开刀切除。

比较棘手的是,达叔的这颗所在的位置颇为刁钻,十分接近脑部中央的大静脉,要完全切除是不可能的事。

长在右脑上端顶部的脑膜瘤(箭头处),影响了左侧身体的活动。

达叔听后,似懂非懂,一迭声催促我赶快帮他开刀。我先让他服用类固醇,大约一星期后,脑部水肿好转,才替他动手术。一如所料,肿瘤紧贴大动脉生长,为免波及重要血管,我只能切除95%肿瘤,无法完全切除。

一星期后,病理组织化验报告出炉,不幸是非典型脑膜瘤二级(Atypical meningioma grade 2)。世界卫生组织把脑膜瘤分成3个等级,达叔是第二级,这类脑膜瘤的复发率颇高,年龄越大,复发率越高,手术无法切除的肿瘤范围越大,复发率也越高。

接下来,我让达叔转看肿瘤科,由肿瘤科医生为他安排辅助电疗方案。听到电疗时,原本因为左脚慢慢恢复力度而喜形于色的达叔顿时瞪着眼睛说不出话来。

我向达叔解释说,电疗是为了减低复发的风险,对治疗非典型脑膜瘤十分重要,希望他可以勇敢面对。之后,达叔也需要长期复诊,比别人更频密做追踪检查,一有复发,就要再进行切除手术甚至电疗。

虽然百般无奈,但达叔也只能接受命运的安排,正面迎击人生中的挑战。

【医学常识】脑膜瘤的分类有多少种?
脑膜瘤大多数为良性,即世卫分类的第一级,但有约四分一的脑膜瘤被归类为非典型脑膜瘤,也就是世卫分类的第二级和第三级。非典型脑膜瘤的复发率相当高,第二级术后5年复发率是9%,第三级则大于30%,所以需要特别关注。

盛晓峰(Dr. Sia Sheau Fung),脑神经外科医生兼神经外科和脊柱专科顾问,早前服务于马大医药中心,目前在私人医院执业,同时也是马大医学院的客座讲师,热衷于医学研究及写作。个人邮址:[email protected]
相关文章:

盛晓峰/左顶叶脑溢血性中风呈半昏迷状态 手术抢救过来 

盛晓峰/B细胞淋巴瘤化疗时发生并发症 ——紧急肿瘤溶解综合症 

盛晓峰/销售员长期搬运重物 致游离型腰椎间盘突出症 

打开全文

ADVERTISEMENT

热门新闻

百格视频

ADVERTISEMENT

点击 可阅读下一则新闻

ADVERTISEMENT