脑神经外科兼脊柱专科医生盛晓峰/市场经理海绵状血管瘤 只要保守治疗,不需开刀切除


病人简介:汤米,44岁的市场销售经理,常年体检时意外发现脑袋里有一颗海绵状血管瘤。
汤米是一位典型的业务人员──个性外向,喜欢交际,擅长带动气氛炒热场子,因为工作关系,下班后经常有各种饭局,即使没有商务应酬,也会约朋友小酌两杯,放松身心。
ADVERTISEMENT
但他基本上还是一个自律的人,因为知道自己应酬多、身体微胖兼有脂肪肝,所以每天早上都会到公园晨跑,每年定期体检,管理健康。最近的体检,他比平时多做了一个脑部磁力共振扫描,结果意外发现右前脑有一团黑影,怀疑是肿瘤需要切除,为了慎重起见,医生将汤米和造影图一起转到我手上。
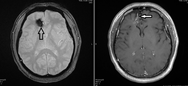
见到汤米时,我第一件事就是问他有没有癫痫、头痛和呕吐,他斩钉截铁地说没有。我仔细研究造影图,只见肿瘤直径约 2×2.5×3公分,肿瘤呈实质固态状而非弥漫状,周遭有旧患出血留下的血迹。
脑瘤有很多种,大致上可分为原发性和非原发性,前者是源发于脑组织的肿瘤,后者则是从大脑外其他身体部位转移而来的肿瘤。手术切除是脑瘤的主要治疗方式,但要在脑袋动刀有一定的风险,身为医生,我必须做风险评估,最大程度上保障病人的安全。
我告诉汤米,从脑造影看来,他的脑瘤不像是恶性肿瘤,比较像是良性脑瘤。听到这句话时,汤米精神为之一振,目光炯炯地等着我继续说下去。
我向他解释,恶性脑瘤大多呈弥漫性扩散,而他的脑瘤则呈实质固态状,这种肿廇大多偏向良性。再说,汤米年纪尚轻,没有家族病史,也完全没有癫痫、头痛、呕吐等症状,所以我建议他先不治疗,做短期追踪,3个月后再做扫描,如果肿瘤没有增大,那很可能是海绵状血管瘤(Cavernous angioma,简称cavernoma)。

3个月后,我和汤米又见面了,新的脑造影图显示肿瘤并没有任何变化,确诊是海绵状血管瘤,在这个阶段,不需要医治。
可汤米还是一脸狐疑,问为何确诊了却不需要医治,我告诉他说,海绵状血管瘤是不正常的血管团,由于血管壁很薄,容易破裂出血,造成癫痫、头痛和呕吐等。不过,并不是所有海绵状血管瘤都需要治疗,只要没有频密出血,造成以上的症状,就不需要开刀切除。
研究也显示,海绵状血管瘤有家族性,有家族性的病人会有5~6颗肿瘤,而没有家族性的病人一般只有一两颗。汤米没有家族性遗传,所以只有一颗肿瘤。
接下来,汤米只需要每半年做追踪检查,一旦发现肿瘤增大,即使没有症状,我也会建议他开刀切除。我也叮嘱他不能服用清血药物,以免血管爆裂,造成溢血性中风。
海绵状血管瘤病人通常会有发育性静脉异常(Developmental venous anomaly,简称DVA),不过,静脉异常的出血几率非常罕见,所以只要保守治疗即可。
听了我的解说后,汤米悬在半空中的心终于着地了,吹着口哨,迈着轻快的步伐走出诊所。

相关文章: 盛晓峰/高复发自身免疫性疾病 工友神经脊髓炎 盛晓峰/颈脊髓空洞症及脊髓瘤——轻则手脚麻痺双脚无力,重则大小便失禁 盛晓峰/长期搬动重物致左手臂疼痛酸麻 60岁志工 人工颈椎间盘置换术 盛晓峰/头痛欲裂、视线模糊 商界强人中枢神经系统淋巴瘤
ADVERTISEMENT
热门新闻
百格视频
ADVERTISEMENT
