星洲网
星洲网
星洲网 登入
Newsletter|星洲网 Newsletter 联络我们|星洲网 联络我们 登广告|星洲网 登广告 关于我们|星洲网 关于我们 活动|星洲网 活动

ADVERTISEMENT

ADVERTISEMENT

副刊

|

养生

发布: 9:00am 31/03/2023

养生

盛晓峰

洗肾

骨折

骨质疏松

大肠癌

脊椎

腰椎崩塌

肾脏病

腰椎塌陷

癌症骨转移

腰椎

脑神经外科兼脊柱专科医生盛晓峰/肾脏病患者长期洗肾 腰椎崩塌痛楚不堪

作者:盛晓峰
 
病人简介:陆妈妈,69岁的病患,长期,最近因而痛楚不已。
 
陆妈妈是洗肾中心的常客,每周洗肾3次,除了肾脏病,她还有糖尿病和高血压。所谓久病成医,她知道自己身为慢性肾脏病病患,骨质也差强人意,所以不时补充钙片和铁片,定时做体检和复诊,不敢松懈。
 
最近一次检血,报告指出指数偏高,再加上她近日频频嚷背痛,身体也日益佝偻,于是女儿马上带她去做全身检查,才发现第一节(L1)塌陷了。
 
正电子发射断层扫描(PET scan)显示L1塌陷。
一如陆妈妈所知,慢性肾脏病患者因为肾功能降低,导致矿物质与骨骼代谢异常,更容易罹患,进而发生,但因为先前那份血液报告,让她和医生多了一层顾虑──究竟是骨质欠佳造成骨折,还是造成骨折呢?
 
在肿瘤科医生的建议下,陆妈妈来到我的诊所。她年纪不算太大,但却比同龄人更佝偻龙钟,由于背痛无法久站,所以女儿用轮椅推着她进来。我细看她们带过来的正电子发射断层扫描(Positron emission tomograhy, PET scan),发现造影图上只有腰椎崩塌处亮起高代谢信号,其他身体部位并没有亮信号,以我的经验来看,我推测陆妈妈很大可能纯粹是骨质疏松,造成腰椎崩塌,而不是癌症导致病理性骨折。
 
除了L1塌陷,我也在L2发现轻微塌陷的旧患。由于塌陷的腰椎没有压制神经中枢,的整体构造还相当稳定,所以我建议陆妈妈服食止痛药和肌肉松弛剂,并佩戴腰封,舒缓腰背疼痛,如果情况继续恶化,我才会为她进行微创水泥椎体成形手术(Cement vertebroplasty)。
 
之前肿瘤科医生建议陆妈妈做腰椎穿刺,我也建议先延一下,如日后需要做微创手术再一起做,这样陆妈妈就不必挨两次刀。
 
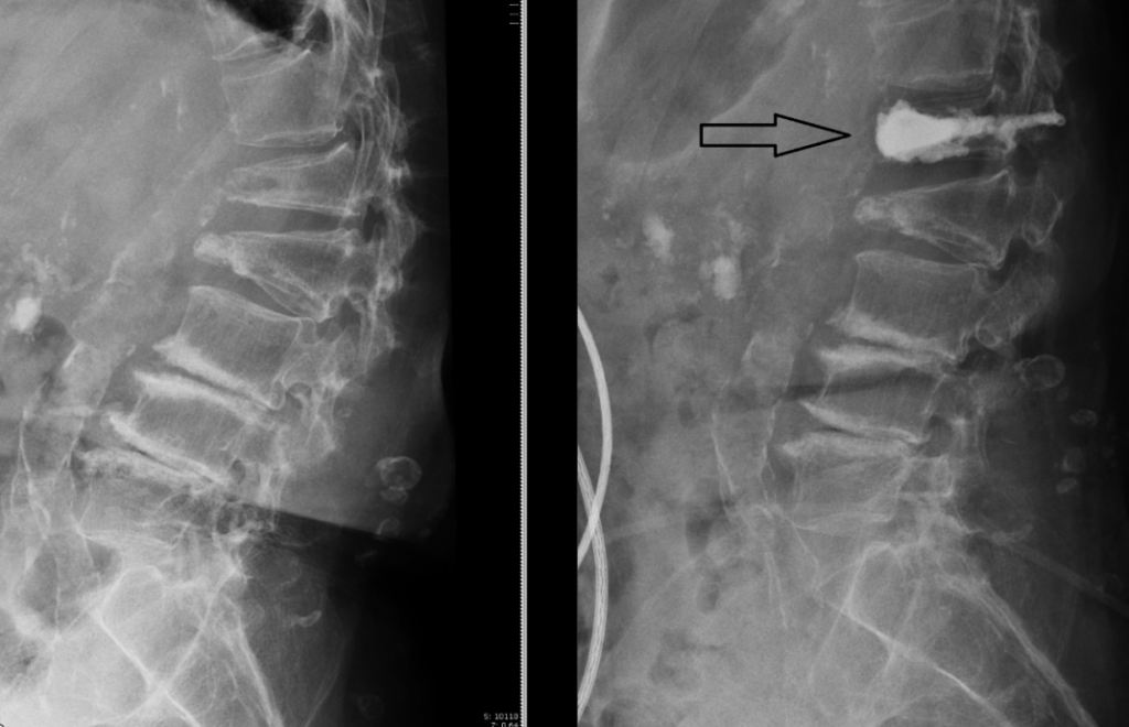
左图为微创水泥椎体成形手术(Cement vertebroplasty)前,右图箭头处为手术后。
椎体样本里没找到癌细胞
 
两个星期后复诊,陆妈妈的背痛有恶化的迹象,“之前还可以站起来煮一顿饭,现在不行了。”她苦着脸申诉。于是我为她做了微创水泥椎体成形手术,在L1注入骨水泥,支撑受损的椎体,与此同时也做了穿刺,采取椎体样本(Vertebral body biopsy),送往化验。
 
报告出炉,证明我推测无误,化验人员并没有在陆妈妈的椎体样本里找到癌细胞。
 
手术后第一次复诊,我发现陆妈妈还是改不了坏习惯,不管站还是坐,都经常弯腰驼背。腰封也被她丢弃一旁,“戴了太闷热,很不舒服。”她期期艾艾地解释。
 
我不得不扳起脸孔,劝告她一定要继续佩戴腰封,借助腰封的承托力,把背挺直,保护脊椎。只有这样,才能避免进一步压迫已经岌岌可危的腰椎。
 
盛晓峰(Dr. Sia Sheau Fung),脑神经外科医生兼神经外科和脊柱专科顾问,早前服务于马大医药中心,目前在私人医院执业,同时也是马大医学院的客座讲师,热衷于医学研究及写作。个人邮址:[email protected]
相关文章:
盛晓峰/建筑工友脑干出血性中风 成了植物人 
盛晓峰/非典型脑膜瘤 年龄越大 复发率越高
盛晓峰/左顶叶脑溢血性中风呈半昏迷状态 手术抢救过来 
盛晓峰/银行经理患面肌痉挛 半边脸肌不自主地抽搐 

ADVERTISEMENT

热门新闻

百格视频

ADVERTISEMENT

点击 可阅读下一则新闻

ADVERTISEMENT